DR650で事故ってしまいました
2006年11月13日に事故ってしまいました。
|
 |
片側2車線の道路を右折しようと、左側車線から右側車線にレーンチェンジしたところ、
右側車線を走って来た自動車と衝突しました。
右足の甲部分をバイクと自動車にはさまれました。
会社に帰るのは右折するのが最短だったのであわてていました
(いつもはこの道は交通量が多いので、左折を繰り返して大回りするのですが、
たまたま対向車線に車が全く無く、急に右折しようと思いついたのです)
私が右後方確認をしなかったのが原因です。
DR共々右に転倒。DRの損傷はキズ程度でしたが、私の足が壊れました。
自動車(ライトバン)は左側のドアが2枚、へこんだそうです。
転倒したバイクを起こそうとしたのですが足が踏ん張れずジタバタしてました。
自動車に乗っていた人に起こしてもらい歩道に。私も肩を借りて歩道にへたり込みました。
その後、救急車で病院へ行き、即、入院しました。
|
 |
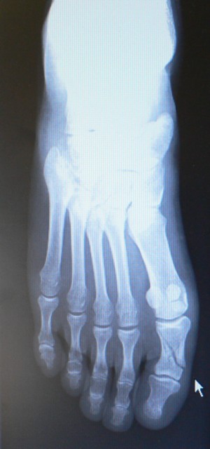
斜めに折れています。
他に小指の根元の方も2ヶ所折れています(レントゲン写真では見えにくい)
右1趾基節骨骨折・右足根骨多発骨折 が傷病名です。
前者(斜めに折れている部分)はピンで固定する手術が必要、
後者は放っておいていいとのこと。(ただし、動かないように固定)
|
 |
事故当日。
|
 |
 |
腫れています。外傷はありません。
|
手術(2006年11月17日)の次の日。
折れた部分に2本、ピンを打ち込みました。
|
 |
 |
左足と比べてもこもこしてます。
|
 |
手術の前日、車椅子で偵察に行きました。
|
 |
手術の3日後、腫れが収まってきましたのでギプスを巻きます。
まず包帯で手術のキズをガードして、
|
 |
皮膚とギプスの間にクッションを巻いて、
|
 |
ギプスを巻きます。包帯状のものです。
|
 |
どんどん巻いていきます。
|
 |
完成。巻いたギプスは数分でカチカチに硬化します。
|
 |
12月2日、ギプスを外します。
このふたつの工具を使います。
|
 |
切れ込みを入れます。
|
 |
反対側も切れ込みを入れて、
|
 |
切れ込みを入れたら、スキマに工具を差し込み、パカっとふたつに割ります。
|
 |
足の裏に内出血。
|
 |
むくんでいます。
動かさないのでむくむんだそうです。
|
 |
ピンの様子。2本打ち込まれています。
|
 |
2週間が経ち、12月16日、だいぶ骨がくっついてきました。
2本のピンのうち、指先側の1本を抜くことになりました。
これで様子をみて、問題なければ今度は12月25日にあと1本を
抜きます。
|
 |
ラジオペンチを使って抜きました。
麻酔なしで、ほとんど痛くありませんでした。
|
 |
抜く途中で止めて、撮影。
|
 |
こんなもんです。
けっこう長いですね。
|
 |
12月25日、2本目のピン抜きをします。
↑使用したラジオペンチ。普通のラジオ作りをする時に
使うものですね。(ただし工具箱に無造作に置いてある
わけではなく、使用直前まで消毒してビニール袋に密閉
してあります−−−当たり前ですが)
|
 |
また抜く途中でパチリ。
|
 |
大きい方が今回抜いたピン。
|
 |
12月30日に撮ったレントゲン写真。
ピンは抜けていますが、まだ亀裂がわかりますね。
これからリハビリをしますが、決して無理をするな、と言われました。
急に体重をかけると、パキンと割れることがあるとのこと。
|
 |
左右の足を比べたところ。まだ右足はぷくぷくですね。
|
 |
娘のクリスマスプレゼント。交通安全ネコ。
|
|
年が明けて、2月3日に撮ったレントゲン写真。
折れたところがわからないぐらいになりました。
まだちょっと痛みがありますが、ほぼ治りました。
|
 |
 |